손가락 마디가 시큰시큰하고 욱신욱신한 통증은 일상에서 갑작스럽게 찾아옵니다. 당장 병원을 찾지 않고선 못 배길 정도로 아프지 않고, 일상생활에서 간헐적으로 나타나기 때문에 대부분 그냥 방치하는 것이 손가락 마디 통증입니다. 그러나 초기에 치료하지 않으면 관절 손상이 심화되고 심할 경우 손가락 변형까지 올 수 있으니 마냥 방치해선 안 됩니다.
손가락 가운데 마디의 통증과 오랜 시간의 강직을 동반하는 류마티스 관절염의 주된 원인은 `면연력 이상`입니다. 면역력의 문제로 발생하는 류마티스 관절염은 손가락 관절을 시작으로 점점 염증이 퍼지는 질병입니다. 손가락 가운데 마디가 아프고 강직되는 증상이 1시간 이상 계속된다면 퇴행성 관절염이 아닌 류마티스 관절염을 의심해봐야 한다. 류마티스 관절염에 걸릴 경우 여러 손가락이 동시에 붓고 열감이 생깁니다. 주로 손가락 가운데 마디를 시작으로 좌우대칭적인 통증이 일어납니다.
















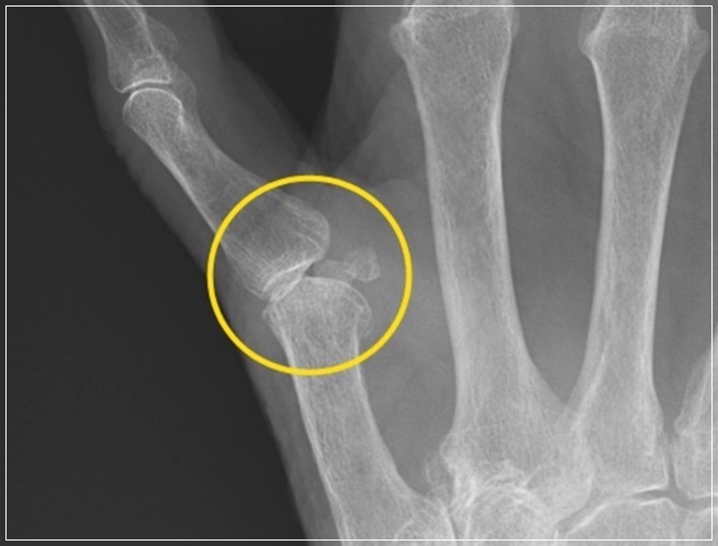
류마티스 관절염은 관절을 정상적으로 매끄럽게 하는 세포(활액 조직)에 영향을 주는 것입니다. 이것은 즉 다발성 관절, 보통 몸의 양쪽 편 모두에 영향을 주게 됩니다. 관절을 싸고 있는 막(활액낭)에 염증이 일어나고 부종이 발생하며 연골과 뼈는 부식됩니다. 부종이 발생한 조직은 주위 뼈를 연결시키는 결합조직인 인대를 신장시킬 수 있고 결과적으로 변형과 장애를 일으킬 수 있습니다.
초반에는 식욕부진, 피로감, 우울 등을 동반하기 때문에 단순한 감기로 오해할 수 있으니 주의가 필요합니다. 류마티스 관절염이 있다면, 면역력에 영향을 주는 담배는 절대 금물입니다. 초기에 치료하지 않으면 대부분의 환자가 1~2년 이내에 손가락 변형 등 심각한 관절 손상을 겪게 됩니다. 그러니 감기와 유사한 증상에 손가락 마디 통증이 더해진다면 빠른 시일 내에 병원을 찾는 것이 좋습니다.












또한 나도 모르는 사이 손가락이 아파오거나 심지어 통증 때문에 손가락이 제대로 구부러지지 않는다면 방아쇠수지증후군을 의심해 봐야 한다. 손가락을 구부릴 때 `딸각` 소리가 나 방아쇠를 당기는 느낌과 비슷하다고 해 붙여진 이름으로 손가락 사이에 염증이 생겨 통증을 동반하게 되는 질병을 뜻합니다.
손가락 관절염 통증을 줄이기 위해서는 반복적인 사용을 최대한 자제하는 것이 좋지만 불가피할 경우 사용 중간중간 휴식 시간을 갖는 것이 좋습니다. 손가락과 손목에 피로가 누적되지 않도록 집안일을 할 때나 컴퓨터, 스마트폰을 사용할 때 짬짬이 휴식을 취하는 것이 중요합니다. 매일 자기 전, 38도 정도 되는 온수에 손목까지 잠기도록 담근 뒤 5~10분 정도 손과 손가락을 주무르듯 풀어주는 것이 좋습니다. 또한, 핸드크림을 바른 뒤 손과 손가락을 마사지 해주면 통증 완화에 효과적따듯한 물로 손과 손목을 이완시켜줬다면 스트레칭으로 마무리하는 것이 좋습니다.




최근댓글