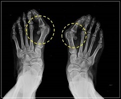
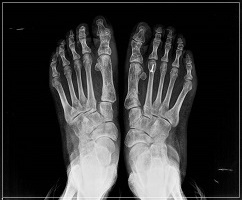
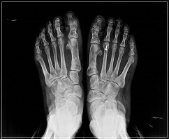
무지외반증은 엄지발가락이 둘째발가락 쪽으로 심하게 휘어져 엄지발가락 관절이 안쪽으로 돌출된 상태를 말하며, 심한 경우에는 엄지발가락이 둘째발가락과 엇갈리는 정도까지 돌아가기도 합니다. 특히 앞이 좁고 굽이 높은 신발을 자주 신는 여성에 흔한 대표적인 족부 질환입니다.
무지외반증이 생기는 데에는 유전적인 소인과 후천적인 요인이 복합적으로 작용합니다. 유전적으로 평발이나 발 볼이 넓은 경우 무지외반증이 발생하기 쉽고, 후천적으로는 볼이 좁고 굽이 높은 신발을 자주 신는 경우 무지외반증에 걸릴 위험이 증가합니다.
















엄지 발가락의 튀어나온 관절부분(건막류)이 신발에 눌려 통증을 호소하는 것이 주 증상이나 엄지발가락이 둘째발가락 쪽으로 휘어져 있고, 관절이 안쪽으로 돌출되어 있습니다. 돌출된 관절은 서 있거나 걸을 때 자극을 받아 빨갛게 변하고 굳은살이 잡히며 염증과 통증이 발생합니다. 엄지발가락이 제 역할을 하지 못하니 발의 다른 부위에도 통증이 생기고 심해지면 발 모양의 변형, 허리의 통증 등이 발생합니다.
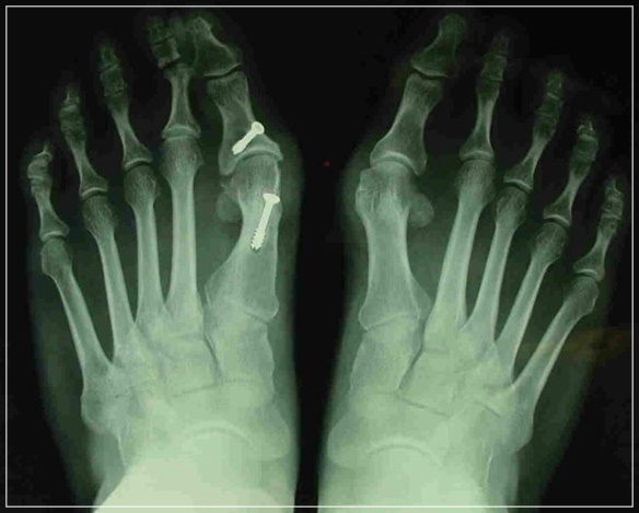
무지외반증 여부의 진단은 시진과 촉진(발가락 모양, 굳은살 등)으로 가능하지만 치료 방침을 결정하기 위해서는 방사선 검사가 필요합니다. 뼈와 뼈가 이루는 각도, 관절의 변형과 염증, 운동 범위 등을 측정합니다.














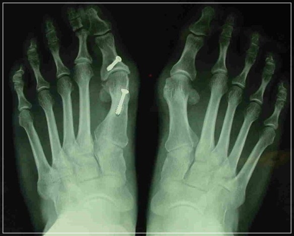
무지외반증의 치료 방법은 환자가 느끼는 증상, 변형의 심각성, 치료의 목적(염증과 통증의 조절인지, 미용적 문제까지 해결하는 것인지) 등에 따라서 달라집니다. 심하지 않은 경우 증상을 조절하고 변형의 진행을 늦추기 위해서 볼이 넓고 부드러운 신발을 신고 교정을 위한 깔창이나 보형물을 사용해 볼 수 있습니다. 심한 변형은 수술적으로 교정해야 하며 돌출 부위의 뼈를 깎아내고 인대와 연부조직의 길이를 조절합니다.
무지외반증을 적절하게 치료하지 않고 계속 좁고 높은 힐이나 발에 맞지 않은 신발을 신고 다니면 엄지발가락의 변형뿐만 아니라 관절의 염증, 다른 발가락과 발 부위의 통증과 변형, 허리의 통증 등이 생길 수 있습니다. 무지외반증 초기에는 수술하지 않고도 충분히 치료가 가능하지만 그렇지 않은 경우 증상이 더 악화되기 전 수술을 통해 교정하는 것이 좋습니다.




최근댓글