패혈증은 균이 몸안에 들어와 염증을 만들어 전신에 염증 반응이 일어나는 치명적인 병입으로 증상이 감기와 비슷해 알아채기 쉽지 않은 병입니다. 적절한 조치를 취하지 않으면 30일 이내 사망할 확률이 20~30%에 달하는 패혈증의 증상과 원인을 확인해보시기 바랍니다.
자칫하면 생명까지 위협
패혈증은 목숨을 위협할 수 있는 병이지만, 아직까지 많이 알려져 있지 않습니다. 패혈증에 걸리면 세균, 곰팡이, 바이러스 등 미생물과 여기서 나오는 각종 독소에 대한 면역반응으로 온몸에 염증이 생기면서 중요한 장기가 망가집니다.


염증이 한 곳에 집중된 패혈증 초기에는 열이 38℃ 이상으로 오릅니다. 염증 물질은 말초혈관을 넓히는 작용을 합니다. 그래서 염증이 심해질수록 혈압이 떨어지고 혈액순환이 안 되면 몸안에서 산소 부족을 해결하려고 심장이 평소보다 열심히 뛰고, 폐도 숨을 과하게 쉽니다.




하지만 염증 물질이 계속 나와서 혈관을 계속 넓히면 결국 심장과 폐도 탈진 상태에 이르고 뇌·콩팥 같은 장기도 산소 부족으로 기능을 잃습니다. 패혈증 쇼크까지 오면 사망률은 40~60%에 이르게 됩니다.
이 경우에는 항생제가 원인 미생물을 잡을 때까지 혈압을 올리는 승압제와 호흡을 대신 유지해주는 인공호흡기로 최대한 버티는 것이 최선이다. 이 고비를 넘기지 못하면 목숨을 잃을 수 있습니다.


초기 증상 발생 6시간 내 치료
패혈증의 초기 증상 발생 6시간 내에 병원 치료를 받으면 패혈증 사망 위험을 크게 낮출 수 있습니다. 패혈증은 증상을 억제하는 것 이외의 치료법이 아직 없습니다. 초기일 땐 일반 병실에서 항생제만 써도 되는데 열이 오르고 혈압이 떨어지면 수액치료를 하고, 숨이 가쁘면 산소호흡기를 해야 합니다.




패혈증 초기 증상 다음 중 두 가지 이상의 증상이 나타나면 바로 병원에 가야 합니다.
- 체온이 38℃ 이상 올라가거나 36℃ 이하로 떨어진다.
- 숨을 1분에 20회 이상 쉰다.
- 맥박이 1분에 90회 이상 뛴다.
- 의식이 떨어진다.


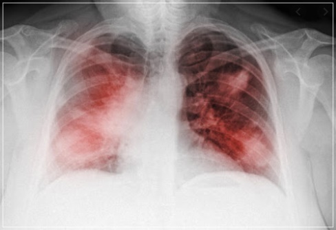
폐렴에서 비롯되는 패혈증, 감기와 구분해야
패혈증은 다양한 질환이 기전이 될 수 있습니다. 초기 증상이 나타날 때, 패혈증으로 이어질 수 있는 폐렴인지 감기인지 헷갈릴 수 있습니다. 감기는 보통 급성으로 일주일 이내로 증상이 나타났다가 호전되는 것이 대부분입니다.


폐렴은 시간이 지나도 고열이 계속되고 호흡곤란과 몸 상태가 급격하게 나빠지고 항생제 치료를 하더라도 반응이 없고 호전되지 않습니다. 폐렴에서 패혈증으로 악화될 때는 초기에 매우 급격하게 진행되는 경우와 일반적인 폐렴 증상이 지속되다가 패혈증이 발생하는 경우로 나뉩니다.
폐렴에서 매우 급격하게 패혈증으로 진행하는 전자는 증상이 확연해 바로 병원을 방문하기 쉽지만 문제는 후자의 경우로 이때는 단순 감기인지, 패혈증으로 악화될 수 있는 폐렴인지 구분이 쉽지 않습니다.


이러한 경우 전문의의 진찰 및 흉부영상촬영 등을 통해 감별해야 합니다. 감기 증상이 수일간 지속될 때는 병원을 즉시 방문해야 하는 이유입니다.




최근댓글